|
|
||||
|
Published by : PROFESSIONAL MEDICAL PUBLICATIONS |
||||
|
ISSN 1681-715X |
||||
|
||||
|
- |
||||
|
CASE REPORT |
||||
|
- |
||||
|
Volume 24 |
April - June 2008 (Part-II) |
Number 3 |
||
|
|
||||
|
|
||||
Rare presentations of neurobrucellosis
Sayyahfar Shirin1, Karimi Abdollah2,
Fahimzad Alireza3,
Tonekaboni Hassan4, Armin Shahnaz5
ABSTRACT
Neurobrucellosis (NB) is one of the most serious complications of brucellosis, as a chronic granulomatous zoonotic infection. It may be acute or chronic with central and / or peripheral nervous system involvement. Pediatric NB is usually acute central form. We report a nine years old girl as a case of NB with sudden onset of hemi paresis, aphasia and bilateral sensory neural hearing loss.
KEY WORDS: Brucellosis, Hearing loss, Hemi paresis.
Pak J Med Sci April - June 2008 (Part-II) Vol. 24 No. 3 464-467
How to cite this article:
Abdollah K, Shirin S, Alireza F, Hassan T, Shahnaz A. Rare presentations of neurobrucellosis. Pak J Med Sci 2008;24(3): 464-7.
1. Sayyahfar Shirin,
Sub specialist in Pediatric Infectious Diseases,
2. Karimi Abdollah,
Professor of Pediatric Infectious Diseases,
Paediatric Infectious Research Centre,
3. Fahimzad Alireza,
Assistant Professor of Pediatric Infectious Diseases,
Paediatric Infectious Research Centre,
4. Tonekaboni Hassan,
Professor of Pediatric Neurology,
5. Armin Shahnaz,
Assistant Professor of Pediatric Infectious Diseases,
Paediatric Infectious Research Centre,
1-5: Faculty of Medicine,
Shaheed Beheshti University of Medical Sciences,
Tehran, Iran.
Correspondence
Karimi Abdollah,
Professor of Pediatric Infectious Diseases,
Pediatric Infectious Research Center,
Mofid Children Hospital,
Shaheed Beheshti Medical University,
Tehran,
Iran.
E-mail: info@pedirc.org
dr_a_karimi@yahoo.com
* Received for Publication: December 19, 2007
* Revision Received: April 9, 2008
* Revision Accepted: May 2, 2008
INTRODUCTION
Brucellosis is a chronic granulomatous zoonotic infection that may transmit to human. It is still a public health problem in Iran with an incidence rate of about 34-105/ one hundred thousand population in different provinces.
1,2 Neurobrucellosis (NB) is an uncommon complication of brucellosis with pediatric risk of about 0.8%.3Paediatric neurobrucellosis usually involves the central nervous system and it is usually of acute presentation, with duration of symptoms between 0.5-8 weeks.
3We report a nine years old girl as a case of NB with bilateral sensory neural hearing loss, sudden onset of hemi paresis and aphasia.
CASE REPORT
A nine years old girl with complaint of malaise, anorexia, nausea, and vomiting for two weeks, sudden onset of left hemi paresis and aphasia was admitted in pediatric neurology ward of our Hospital. Physical examination at first, revealed bilateral 8th cranial nerve involvement decreased muscle force (4/5) and increased deep tendon reflex (DTR) of left lower extremity. Early laboratory tests including CBC, ESR, electrolytes and LFT were at normal limits, but CSF analysis had some abnormalities (Table-I).

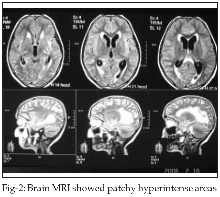
Brain CT revealed mild communicating hydrocephaly and brain MRI showed patchy hyperintense areas in pons, periventricular white matter, parietal, temporal, and frontal lobes in T2W images (Fig-1,2). At first with impression of Acute Disseminated Encephalomyelitis (ADEM), she was treated with methylprednisolon without any improvement. She developed fever and nuchal rigidity after third day of treatment and was referred to infectious ward.

According to clinical and lab findings, tuberculous meningitis was considered and anti TB drugs (PZA, ETB, INH and RIF) and dexametasone was prescribed.
Four days after anti-TB therapy, we received the following results: negative TB- PCR in CSF, serum wright titer of 1/ 2560 with CSF wright titer of 1/ 20, therefore we discontinued anti-TB drugs except rifampin and added cotrimoxazole and doxycycline to previous drugs with diagnosis of NB. Dexamethasone was discontinued after one month but antibiotics were continued up to six months according to clinical state and CSF analysis result.

Lumbar puncture was repeated on third day, 7th day, second month and 6th month later when treatment was discontinued. Hemiparesis and aphasia recovered after one month but sensoryneural hearing loss did not improve despite of therapy.
DISCUSSION
Brucellosis caused by intracellular gram-negative bacteria of the genus brucella, is transmitted to human through consumption of meat, raw milk or infected milk products, contact with infected animals or through the respiratory tract, abraded skin or conjunctiva.
4,5This world wide disease with estimated incidence of half a million annually, is endemic in middle east area, western Asia, Africa and Latin America.
6-8 It is still a major health problem in Iran with incidence of about 34-105/ 100000.1,2NB is an uncommon complication of this disease with incidence of 0.8% and7% in children and adults’ respectively.
3 It may be acute or chronic with central and / or peripheral nervous system involvement. Pediatric NB is usually acute central form and peripheral neuropathy has not yet been reported in childhood NB. 3NB may present with brain abscess, subarachnoid hemorrhage, cranial nerve involvement and other sensory or motor abnormalities.
3,7 The patient may be manifested with meningeal irritation, deep tendon hyperreflexia or areflexia with or without constitutional symptoms.3 Also brucella meningitis has been described without fever, neck stiffness or abnormal CSF findings.3 As regards our patient’s clinical, laboratory and imaging findings, ADEM, TB meningitis and NB were suggested.History of recent infectious illness or immunization, increased CSF myelin protein, increased CSF/serum IgG ratio and thrombocytosis which can be found in ADEM helps to differentiate ADEM from NB.
9 In addition, Intraparenchymal subcortical enhancement that may be found in ADEM has not yet been described in NB.10History of contact with index case, positive PPD, abnormal CXR and positive CSF PCR or Culture can help to differentiate TB meningitis from NB. Basilar enhancement and communicating hydrocephalus are most prevalent imaging findings in TB meningitis and could also be found in NB.
11CNS abnormalities in NB are of three types: white matter involvement, inflammatory changes and vascular insult.
10 White matter involvement may mimic other inflammatory or infectious diseases such as ADEM, Multiple Sclerosis (MS) and lyme disease, but involvement of corpus callosum in MS and imtraparenchymal subcortical enhancement in MS, ADEM and lyme disease have not yet been described in NB.10The criteria necessary for definite NB diagnosis include:
*
Increased protein in CSF and lymphocyte pleocytosis*
Positive CSF culture for brucella or positive brucella IgG agglutination titer in the blood and CSF.*
Response to specific chemotherapy with a significant drop in the CSF lymphocyte count and protein concentration.*
Dysfunction not explained by other neurologic diseases,5 so our patient had all definite NB criteria.Increased WBC count with PMN predominance of CSF after four days anti-TB therapy in our patient (third LP) can be explained with Jarish – herxheimer like reaction and release of excess brucella endotoxin which can augment the immune response.
3 Habeeb and coworkers reported an eight year old boy with brucella meningitis who demonstrated a arisch-Herxheimer-like reaction, presented with clinical deterioration following the commencement of antibrucella treatment, associated with increased pleocytosis and shift from lymphocytic to polymorphic predominance. However this picture may be modified if steroids have been used.3CSF glucose is not a reliable index for evaluation of response to therapy in NB as our patient had hypoglycorrhatia despite of completion of treatment.
12 Hearing loss is among the rare complications generally occurring with neurobrucellosis, mostly of sensorineural type.13 It appears that hearing loss in brucellosis is possibly due to involvement of the central auditory pathways although a mixed-type hearing loss after Brucella infection has been reported.14 Several studies have suggested that cerebral inflammation caused by infections, or avascular neural tissue resulting from reflex spasm caused by endotoxins, can be the cause of hearing loss in brucellosis.5 Treatment should be initiated as soon as possible to prevent permanent hearing loss and later relapses and long-term combination therapy is required in such cases. Mc Lean et al reported that four of 18 cases treated for neurobrucellosis suffered from permanent hearing loss.15 Unfortunately sensoryneural hearing loss did not improve in our patient despite of therapy.Since NB is a complication of systemic brucellar infection, patients should be given a combination of drugs that are both able to cover current treatment of brucellosis and achieve high levels in CSF. Triple regimens comprising doxycycline, rifampicin and cotrimoxazole are recommended because they have good intracellular and CNS penetration and may act in a synergistic fashion. The actual duration of therapy is predicated by the clinical and CSF response. Some authors also recommend concomitant steroid administration.
16 Steroids have been used in neurobrucellosis when deterioration occurs after initiating antibrucella treatment as well as for optic neuropathy, papilloedema, cranial nerve involvement and arachnoiditis.3CONCLUSIONS
Persistent aseptic meningitis with unusual presentations such as neurologic deficits should be an alarm signal to physicians to evaluate the patient for TB and brucellosis in endemic areas. In suspected cases, treatment should be started immediately before receiving laboratory results. In addition, every patient with acute paresis or chronic sensorineural hearing loss should be evaluated for infectious causes such as NB if other possible causes are ruled out.
REFERENCES
1. Karimi A, Alborzi A, Rasooli M. Prevalence of antibody to Brucella species in butchers, slaughterers and others. La Revue de Sante’ de la Mediterrane’e orientale 2003;9:178-84.
2. Haji AM, Rasooli NM, Yaaghoob Z. Evaluation of Epidemiology, clinic, diagnosis and treatment of 505 patients with brucellosis. Tehran Med Uni J 2001;59:34-46 .
3. Habeeb YKR, AL – Najdi AKN, Sadek SAH. Paediatric Neurobrucellosis: Case Report and Literature Review. J Infection 1998;37:59-62.
4. Sohn AH, Probert WS, G laser CA. Human neurobrucellosis with intracerebral Granuloma caused by a Marine mammal Brucella SPP. Emergency Infectious Diseases 2003;9:485-8.
5. Kochar DK, Kumawat BL, Agarwal N. Meningoencephalitis in brucellosis. Neurology India 2000;48:170-3.
6. Ozturk KT, Kaygusuz I, Killic S. Investigation of hearing loss in patients with acue brucellosis by Standard and high-frequency and audiometry. Clin Microbiol Infect 2005;11:559-63.
7. Kizilkilic O, Turunc T, Yildirim T. Successful medical treatment of intracranial abscess caused by Brucella SPP. J Infection 2005;51:77-80 .
8. Kyebambe PS. Acute brucella meningomyelo-encephalo-spondylosis in ateenage male. African Health Sciences 2005;5:69-72.
9. Rust RS. Acute Dissemiated Ecphalomyelitis. E medicine 2005 Available at http://www.emedicine.com/neuro/topic500.htm
10. AL–Sous MW, Bohlega S, AL Kawi MZ. Neurobrucellosis: Clinical and Neuroimaging correlation. Amer J Neuroradiology 2004;25:395-401.
11. Munoz FM, Starke JR. Tuberculosis. Behrman RE, Kleigman RM, Jenson HB. Nelson text book of pediatrics. 7th ed. New York: Saunders, 2004;958-72.
12. Anlar FY, Yalcin S, Secmeer G. Persistent hypoglycorrhachia in neurobrucellosis. The Pediatric Infectious Diseases J 1994;8:747-8.
13. Tuncer I, Akdeniz H, Uygan I. A brucellosis case with ascites, hearing loss and Pancytopenia. Turk J Gastroenterol 2002;13(3):168-71.
14. Yildrim A, Bayazit, Namiduru M. Hearing status in brucellosis. Otolaryngology-Head and Neck Surgery 2002;12:98-100.
15. Mc Lean DR, Russell N, Khan MY. Neurobrucellosis: clinical and therapeutic features. Clin Infect Dis 1992;15:582-90.
16. Mesut, Yilmaz, Resat, Ozaras, Recep, Ozturk (Istanbul University, Turkey), Chapter 10 - Neurobrucellosis: Current Clinical, Diagnostic and Therapeutic Features (pp. 207-220), available on: https://www.novapublishers.com/catalog/product_info.ph p?products_id=544
HOME | SEARCH | CURRENT ISSUE | PAST ISSUES
Professional
Medical Publications
Room No. 522, 5th Floor, Panorama Centre
Building No. 2, P.O. Box 8766, Saddar, Karachi - Pakistan.
Phones : 5688791, 5689285 Fax : 5689860
pjms@pjms.com.pk